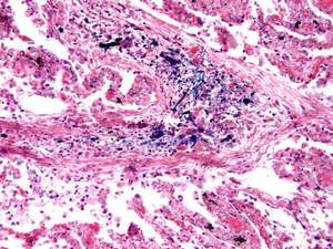
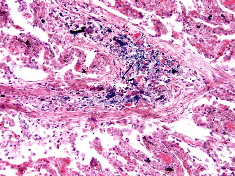
Asbestosis
The plan will pay claims of people whose lungs look like this.

Today Blawgletter learned something we didn’t know before.  That happens quite often.  Sometimes we even learn things we did know but just can’t remember.  Some might in fact say that the frequency of the latter exceeds the oftenness of the former.

But back to our discovery.  It relates to insurance.  Insurance of a peculiar kind.  Indemnity insurance.

The revelation arrived courtesy of the Second Circuit, which upheld a cumbersome plan for paying claims for asbestosis and other ailments against Prudential Lines, a shipping company that dove into the bankruptcy tank in 1986.  Desirous of paying (and discharging) the claims, the trustee of Prudential called on the shipper’s insurance carrier to fork over the necessary funds.  But the insurer, which we’ll call American Steamship for short, balked.  It insisted that the trustee pay the claims himself first.

But why?  Because an indemnity policy has what those in the biz refer to as a "pay-first" provision.  That meant the trustee couldn’t call on American Steamship to satisfy a claim directly but instead had to pay and then request American Steamship for indemnity — what most people would think of as reimbursement.

We won’t go into the torturous details of the trustee’s efforts to short-circuit the process.  Suffice to say that the Second Circuit booted the first plan as a "sham" because the trustee wouldn’t actually part with money until after the insurer paid the trustee’s claim for indemnity. 

The new plan met the same fate in the bankruptcy and district courts, but the Second Circuit okayed it.  Yes, the trustee would pay a claim, get indemnity, and use the proceeds to pay the next claim — and so on until all claimants received their due — but that hardly amounted to a sham.  The trustee’s actual parting with the funds distinguished it from the earlier scheme.  That it would happen according to a plan didn’t matter.  And so the court told the bankruptcy court to implement the seriatim pay-indemnify-pay plan on remand.  Asbestosis Claimants v. Am. Steamship Owners Mut. Prot. & Indemn. Ass’n, Inc. (In re Prudential Lines, Inc.), No. 05-5925-bk (June 19, 2008).

Feedicon14x14 Our feed likes learning stuff.

Print:
Email this postShare this post on LinkedIn
Photo of Barry Barnett Barry Barnett

Clients and colleagues call Barry Barnett an “incredibly gifted lawyer” (Chambers and Partners) who is “magic in the courtroom” (Who’s Who Legal), “the top antitrust lawyer in Texas” (Chambers and Partners), and “a person of unquestioned integrity” (David J. Beck, founder of Beck…

Clients and colleagues call Barry Barnett an “incredibly gifted lawyer” (Chambers and Partners) who is “magic in the courtroom” (Who’s Who Legal), “the top antitrust lawyer in Texas” (Chambers and Partners), and “a person of unquestioned integrity” (David J. Beck, founder of Beck Redden).

Barnett is a Fellow in the American College of Trial Lawyers, and Lawdragon has named him one of the top 500 lawyers in the United States three years in a row. Best Lawyers in America has honored him as “Lawyer of the Year” for Bet-the-Company Litigation (2019 and 2017) and Patent Litigation (2020) in Houston. Based in Texas and New York, Barnett has tried complex business disputes across the United States.

TRIAL COUNSEL
Barnett’s background, training, and experience make him indispensable to his clients. The small-town son of a Texas roughneck and grandson of a Texas sharecropper, Barnett “developed an unusual common sense about people, their motivations, and their dilemmas,” according to former client Michael Lewis.

Barnett has been historically recognized for his effectiveness and judgment. His peers chose him, for example, to the American College of Trial Lawyers and American Law Institute. His decades of trial and appellate work representing both plaintiffs and defendants have made him a master strategist and nimble tactician in complex disputes.

Barnett focuses on enforcement of antitrust laws, the “Magna Carta of free enterprise,” in Supreme Court Justice Thurgood Marshall’s memorable phrase. “Barry is one of the nation’s outstanding antitrust lawyers,” according to Joseph Goldberg, a member of the Private Antitrust Enforcement Hall of Fame. Named among Texas’s top ten antitrust lawyers of 2023, Business Today calls Barnett a “trailblazer” among the “distinguished legal minds” who “dedicate their skill and expertise to the maintenance of healthy competition in various sectors” of the Lone Star State’s booming economy. Barnett is also adept in energy and intellectual property matters and has battled for clients against a Who’s Who list of corporate behemoths, including Abbott Labs, Alcoa, Apple, AT&T, BlackBerry, Broadcom, Comcast, Dow, JPMorgan Chase, Samsung, and Visa.

Barnett commands a courtroom with calm and credibility and “is the perfect lawyer for bet the company litigation,” said Scott Regan, General Counsel of former client Whiting Petroleum. His performance before the Supreme Court in Comcast Corp. v. Behrend prompted the Court to withdraw the question on which it had granted review. The judge in a trial involving mobile phone technology called Barnett “one of the best” and that his opening statement the finest he had ever seen. Another trial judge told Barnett minutes after a jury returned a favorable verdict against the county’s biggest employer that he was one of the two best trial lawyers he’d ever come across—adding that the other one was dead.

COMPLETE PACKAGE
A versatile trial lawyer, Barnett knows how to handle a case all the way from strategic pre-suit planning to affirmance on appeal. He’s tried cases to verdict and then briefed and argued them when they went before appellate courts, including the Second, Third, Fifth, and Tenth Circuits, the Supreme Court of Louisiana, and (in the case of Comcast Corp. v. Behrend) the Supreme Court of the United States.

Barnett is a sought-after public speaker, often serving on panels and talking about topics like the trials of antitrust class actions and techniques for streamlining complex litigation. He also comments on trends in commercial litigation and the implications of major rulings for outlets such as NPR, Reuters, Law360, Corporate Counsel, and The Dallas Morning News. He’s even appeared in a Frontline program about underfunding of state pensions, authored chapters on “Fee Arrangements” and “Techniques for Expediting and Streamlining Litigation” (the latter with Steve Susman) in the ABA’s definitive treatise on Business and Commercial Litigation in Federal Courts, 5th, and commented on How Antitrust Enforcers Might Think Like Plaintiffs’ Lawyers.

HARD GRADERS
Clients and other hard graders have praised Barnett for his courtroom skills and legal acumen.

A client in a $100 million oil and gas case, which Barnett’s team won at trial and held on appeal, said Barnett and his team “presented a rare combination of strong legal intellect, common sense about right and wrong, and credibility in the courtroom.” David McCombs at Haynes and Boone said Barnett “has a natural presence that goes over well with juries and judges.”

Even former adversaries give Barnett high marks. Lead opposing counsel in a decade-long antitrust slugfest said “Barry is a highly skilled advocate. He understands what really matters in telling a narrative and does so in a very compelling manner.”

CIVIC ENGAGEMENT
Barnett relishes opportunities to collaborate with all kinds of people. At the Center for American and International Law (CAIL), founded by a former prosecutor at Nuremberg in 1947 and headquartered in the Dallas area, he has served on the Executive Committee, co-chaired the committee that produced CAIL’s first-ever strategic plan, supported CAIL’s Institute for Law Enforcement Administration and other development efforts, and proposed formation of a new Institute for Social Justice Law. CAIL’s former President David Beck said “Barry is extremely bright” and is “very well prepared in every lawsuit or professional task he undertakes.”

Barnett is also a Trustee of the New-York Historical Society, a Sterling Fellow at Yale, a member of the Yale University Art Gallery’s Governing Board, a winner of the Class Award for his work on behalf of his college class, and a proud contributor to the Yellow Ribbon Program at Harvard Law. Barnett’s pro bono work includes leading the trial team representing people who are at greatest risk of severe illness and death as a result of being exposed to the novel coronavirus SARS-CoV-2 while being detained in the Dallas County jail—work for which he received the NGAN Legal Advocacy Fund RBG Award.

At Susman Godfrey, Barnett has served on the firm’s Executive Committee, Employment Committee, and ad hoc committees on partner compensation, succession of leadership, and revision of the firm’s partnership agreement. He also twice chaired the Practice Development Committee.

KEEPING PERSPECTIVE
Barnett understands that clients face many pressures. Managing the stress is important, especially in matters that take years to resolve. He encourages clients to call him whenever they have a question or concern and to keep the inevitable ups and downs in perspective. He wants them to know that he will do his level best to help them achieve their goals. He also strives to foster trust and to make working with him a pleasure.

Cyrus “Skip” Marter, the General Counsel of Bonanza Creek in Denver and a former Susman Godfrey partner and client, said Barnett is “excellent about communicating with clients in a full and honest manner” and can “negotiate for his clients from a position of strength, because he is not afraid to take a case through a full trial on the merits.” Stacey Doré, the President of Hunt Utility Services and a former client, said that Barnett is “an excellent trial lawyer and the person you want to hire for your bet-the-company cases. He is client focused, responsive, and uniquely savvy about trial and settlement strategy.” A New York colleague said, “Barry is a joy to work with as co-counsel. He tackles complex procedural and factual hurdles capably, efficiently, and without drama.”

SUPERB CLIENTS
A wide range of industry leaders have entrusted their critical matters to Barnett, including the ones you see below.

Public Companies:

Alaska Airlines
Encana Oil & Gas
Hinduja Global
KKR & Co. Inc.
Neiman Marcus
Talen Energy
Texas Instruments
Vistra Corp.

Private Companies:

Duane Reade
Elliott Investment Management
Luminant Generation
Morris & Dickson Co.
Oak Hill Capital

PERSONAL
Barnett’s wide-ranging experience and calm, down-to-earth approach enable him to connect with clients, judges, jurors, witnesses, and even opposing counsel. He grew up in Nacogdoches, Texas. He co-captained his high school varsity football team as an All-East Texas middle linebacker while also serving as the Editor of Key Club’s Texas-Oklahoma District, won the Best Typist award, took the History Team to glory, and sang in the East Texas All Region Choir. As Dan Kelly of client Vistra Corp. put it, Barnett is “a great person to be around.”

Barnett is steady and loyal. He has practiced at Susman Godfrey his entire career. He and his wife Nancy live in Dallas and enjoy spending time in Houston and New York. Their daughter works for H-E-B in Houston, and their son is a Haynes and Boone transactions lawyer in Dallas.

As a member of Ivy League championship football teams in his junior and senior years at Yale and a parent of two Yalies, Barnett has no trouble choosing sides for “The Game” in November. And he knows how important fighting all the way to the end is. On his last play from scrimmage, in the waning minutes of The Game on Nov. 22, 1980, he recovered a Crimson fumble.

Yale won, 14-0.

Honors & Distinctions

Academy of American Legal Writers, Board Member (2012-2023).
American College of Trial Lawyers, Fellow (2014-2023).
American Law Institute, Elected Member (2007-2023).
Benchmark Litigation, Litigation Star (2022, 2023, Euromoney)
The Best Lawyers in America, Houston Lawyer of the Year in Patent Litigation (2020) and Bet-the-Company Litigation (2017 and 2019), Bet-the-Company Litigation (2010-2024), Class Actions (2015-21), Commercial Litigation (2003-2024), Litigation – Antitrust (2012-2024), Litigation – Intellectual Property (2012-2024), and Litigation – Patent (2012-2024) (Copyright by Woodward White Inc.).
Chambers USA: America’s Leading Lawyers for Business in Antitrust and General Commercial Litigation(2007-2024).
Martindale-Hubbell AV (highest) rating (1995-2023).
Lawdragon, The Lawdragon 500 Leading Lawyers (2020, 2021, 2022, 2023, 2024), Lawdragon 500 Leading Plaintiff Financial Lawyers (2019, 2020, 2021, 2022, 2023, 2024), Lawdragon 500 Leading Litigators (2022, 2023)
Legal 500. Antitrust: Civil Litigation/Class Actions (Plaintiff) (2021, 2022, 2023); Energy Litigation: Oil and Gas (2023)
Recognized as a Top Ten Antitrust Lawyer in Texas, Lawyer Awards 2023, Business Today (2023, Unstructured Media).
SuperLawyers. Texas (2003 – 2023, Thomson Rueters)

Clerkship

Honorable Jerre S. Williams, United States Court of Appeals for the Fifth Circuit
Education

Harvard Law School (J.D., cum laude)
Yale University (B.A., Economics and History (honors), magna cum laude)

Bar Admissions
New York
Texas
Court Admissions
United States Supreme Court
U.S. Court of Appeals for the Second Circuit
U.S. Court of Appeals for the Third Circuit
U.S. Court of Appeals for the Fifth Circuit
U.S. Court of Appeals for the Tenth Circuit
U.S. District Court for the Eastern District of New York
U.S. District Courts for the District of Arizona
U.S. District Court for the District of Colorado
U.S. District Court for the Eastern District of Texas
U.S. District Court for the Northern District of Texas
U.S. District Court for the Southern District of Texas
U.S. District Court for the Western District of Texas

Publications
On Twitter @contingencyblog
On LinkedIn
Fee Arrangements, Business and Commercial Litigation in Federal Courts, 5th
How Antitrust Enforcers Might Think Like Plaintiffs’ Lawyers, Law360
Barry Barnett — NPR “Marketplace” Report
Oral argument in Comcast Corp. v. Behrend

Interviews by and articles for Law360, NPR’s “Marketplace” report, Law Blog of The Wall Street Journal, Texas Lawyer, ABA Journal, business torts “Hot Topics” by the Litigation Section of the Texas Bar Association, Global Competition Review, The Hartford Courant, Kansas City Business Journal, The Dallas Morning News, Texas Cable News, D CEO, and Dallas Business Journal.

Author and speaker at continuing legal education seminars, including “One Year Later: Winter Storm Uri and Its Impact on Civil Litigation and the Energy Industry’, ‘Force Majeure Meets Covid-19: A Love Story”, “Reasonable Prudent Operator—The Continuously Evolving Standard” and “The Hottest Oil & Gas Claims” at the Institute for Energy Law’s Annual Oil & Gas Law Conference, “Current Issues in Multidistrict Litigation and Class Actions” at the Third Circuit Judicial Conference; “Daubert in Class Certification Hearings: The Standard After Comcast” for ABA Section of Antitrust Law; and “Current Developments in Business Litigation”, American Bar Association

Leadership & Professional Memberships

American Bar Association; Section of Litigation and Section of Antitrust Law; American Association for Justice; Dallas Bar Association; Federal Bar Association; Houston Bar Association.
Center for American and International Law, Executive Committee (2016-24) and Trustee (2011-2024). Yale Club of Dallas; Harvard Club of Dallas; Yale Club of New York City.
Greenhill School, Addison, Texas, Trustee (2007-2013).
New-York Historical Society, Trustee (2016-2024) and Chairman’s Council (2012-2024).
Life Fellow, American Bar Foundation, Texas Bar Foundation, Dallas Bar Foundation, and Houston Bar Foundation.
Yale University Art Gallery, New Haven, Connecticut, Member, Governing Board (2023-2024).